Common Orthodontic Problems

Orthodontic issues are very common; in fact, most people do not naturally have perfectly aligned teeth. A “bad bite,” also known as malocclusion, can affect more than just appearance. It may lead to difficulties with chewing, speaking, maintaining good oral hygiene, and can even impact confidence.

These problems can be genetic or may develop from habits and conditions such as thumb sucking, dental disease, accidents, poor oral hygiene, birth defects, or other medical factors. The good news is that orthodontic treatment with Drs. Piyush and Kiran Heda can improve both the function of your bite and the look of your smile.

Below are some of the most common orthodontic problems we treat:
Protrusion Solitaire Orthodontics in Cypress, TX

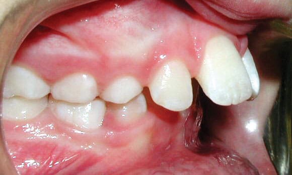
Upper Front Teeth Protrusion

This occurs when the upper teeth extend too far forward, or the lower teeth do not extend far enough. It can affect both the appearance and function of your bite and sometimes increases the risk of injury to the front teeth. In many cases, orthodontic treatment can reposition the teeth to improve both function and facial balance.

Overbite Solitaire Orthodontics in Cypress, TX

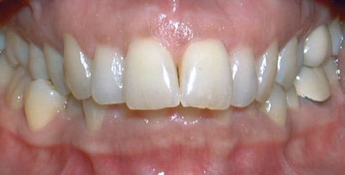
Overbite

An overbite happens when the upper front teeth overlap the lower front teeth too much. In severe cases, the lower teeth may bite into the roof of the mouth, causing discomfort and potential wear on the teeth. Correcting an overbite can improve chewing, protect teeth from damage, and enhance the smile’s appearance.

Crossbite Solitaire Orthodontics in Cypress, TX

Crossbite

A crossbite is when the upper teeth sit inside the lower teeth. This misalignment may lead to uneven tooth wear and can affect proper jaw growth if not corrected. Treatment can guide the bite back into alignment, improving both function and jaw health.

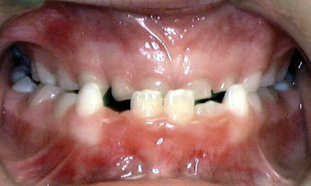
Open Bite Solitaire Orthodontics in Cypress, TX

Open Bite

In an open bite, the upper and lower front teeth do not overlap when the mouth is closed. This can make chewing less effective and may be linked to habits such as tongue thrusting or thumb sucking. Addressing an open bite can improve speech, chewing, and overall oral health.

Crowding Solitaire Orthodontics in Cypress, TX

Crowding

Crowding occurs when there is not enough room in the jaw for all teeth to erupt normally. Teeth may overlap, twist, or become displaced. Treatment creates the necessary space, making teeth easier to clean and reducing the risk of decay or gum disease.

Spacing Solitaire Orthodontics in Cypress, TX

Spacing

Spacing problems arise when there are gaps between teeth. These may be caused by missing teeth, small teeth, or simply extra space in the jaw. Closing these spaces can improve both the function of the bite and the appearance of the smile.

Underbite Solitaire Orthodontics in Cypress, TX

Underbite

An underbite is when the lower jaw extends forward, causing the lower front teeth to sit ahead of the upper front teeth. This can affect chewing, speaking, and overall facial balance. Early treatment may help guide jaw growth, while adult treatment can correct alignment and improve long-term function.