Virtual Orthodontic Consultation
At Solitaire Orthodontics, Drs. Piyush and Kiran Heda are pleased to offer virtual consultations for your convenience. Whether you are a new patient exploring treatment options or an existing patient continuing care, our virtual visits make it easy to connect with us from the comfort of your home.
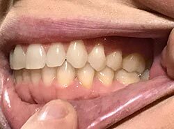
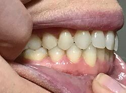
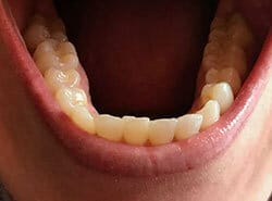
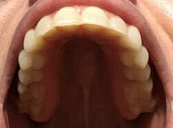
To make the most of your appointment, we ask that you submit a set of photos of your teeth and bite at least 48 hours before your scheduled consultation. This allows our doctors to carefully review your images and prepare a personalized assessment.
How it Works
![]()
1. Take Your Photos
Ask a friend or family member to help you take a series of 5 photos using a smartphone or digital camera.
![]()
2. Submit Online
Upload your photos through the secure form on this page, along with any notes or concerns you’d like to share.
![]()
3. Meet Virtually
During your scheduled virtual consultation, Drs. Heda will review your images, discuss treatment options, and answer your questions.
How to Photograph Your Smile
To ensure the best possible images:
Lighting: Sit in a well-lit room, preferably with natural light.
Position: Be seated and keep your head steady while someone else takes the photos.
Clarity: Make sure your teeth are fully visible and the photo is not blurry.
Why Virtual Consultations Work
Virtual consultations provide the same professional evaluation you would receive in our office, with the added benefit of flexibility. You can save time, get answers to your questions, and begin exploring treatment options without leaving home.
If you need help with your photos or have questions about the process, please contact our office, our team will be happy to guide you.
"*" indicates required fields