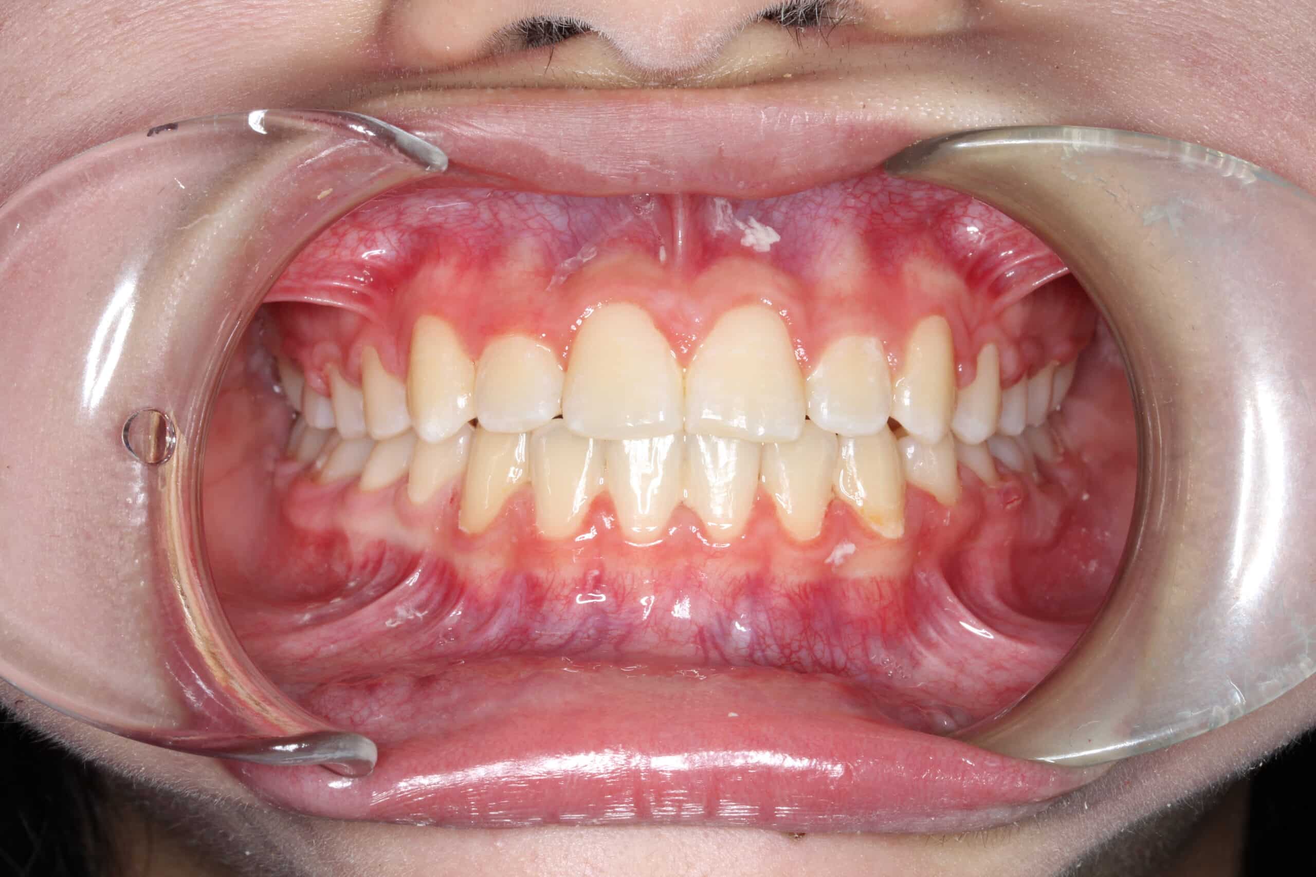
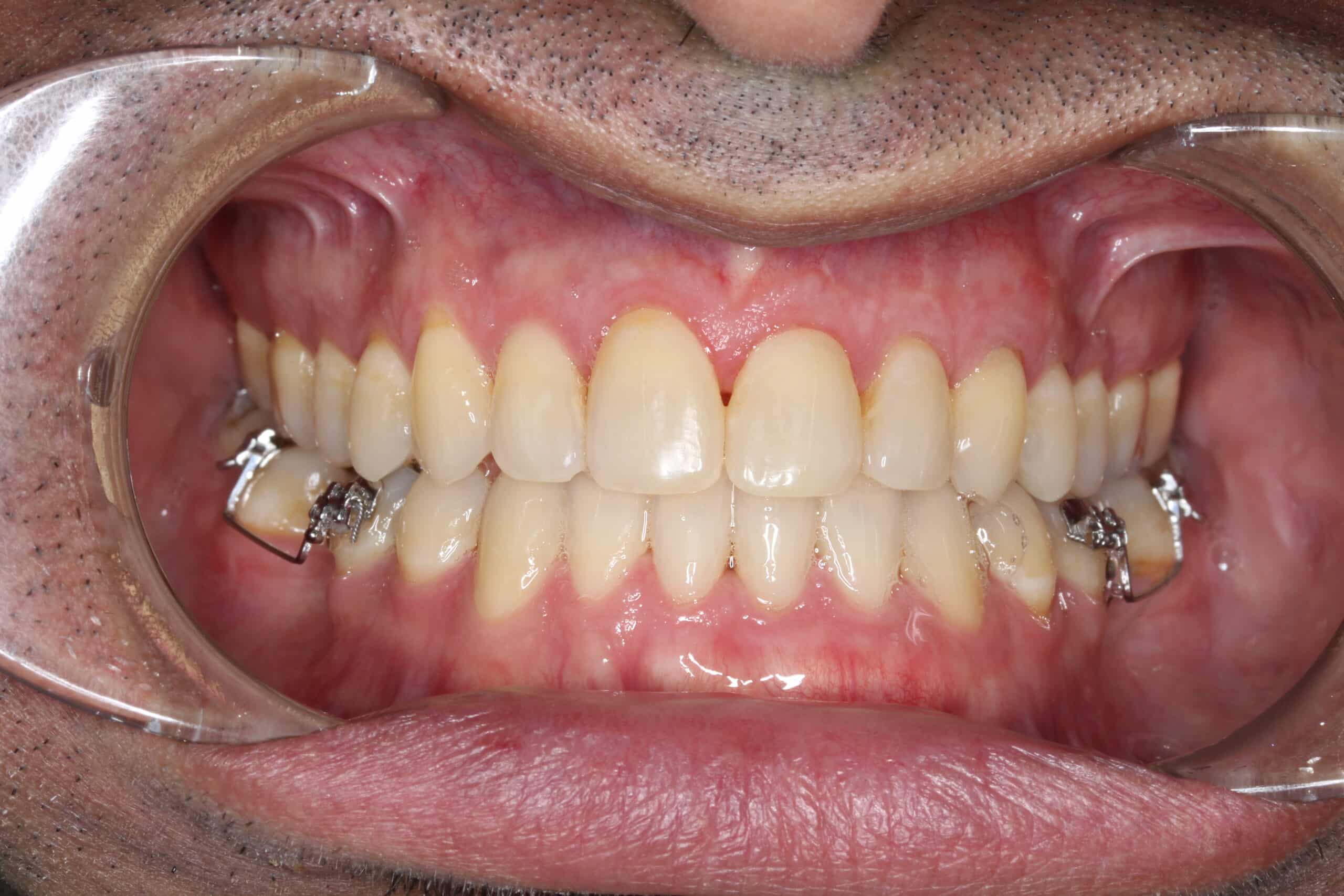
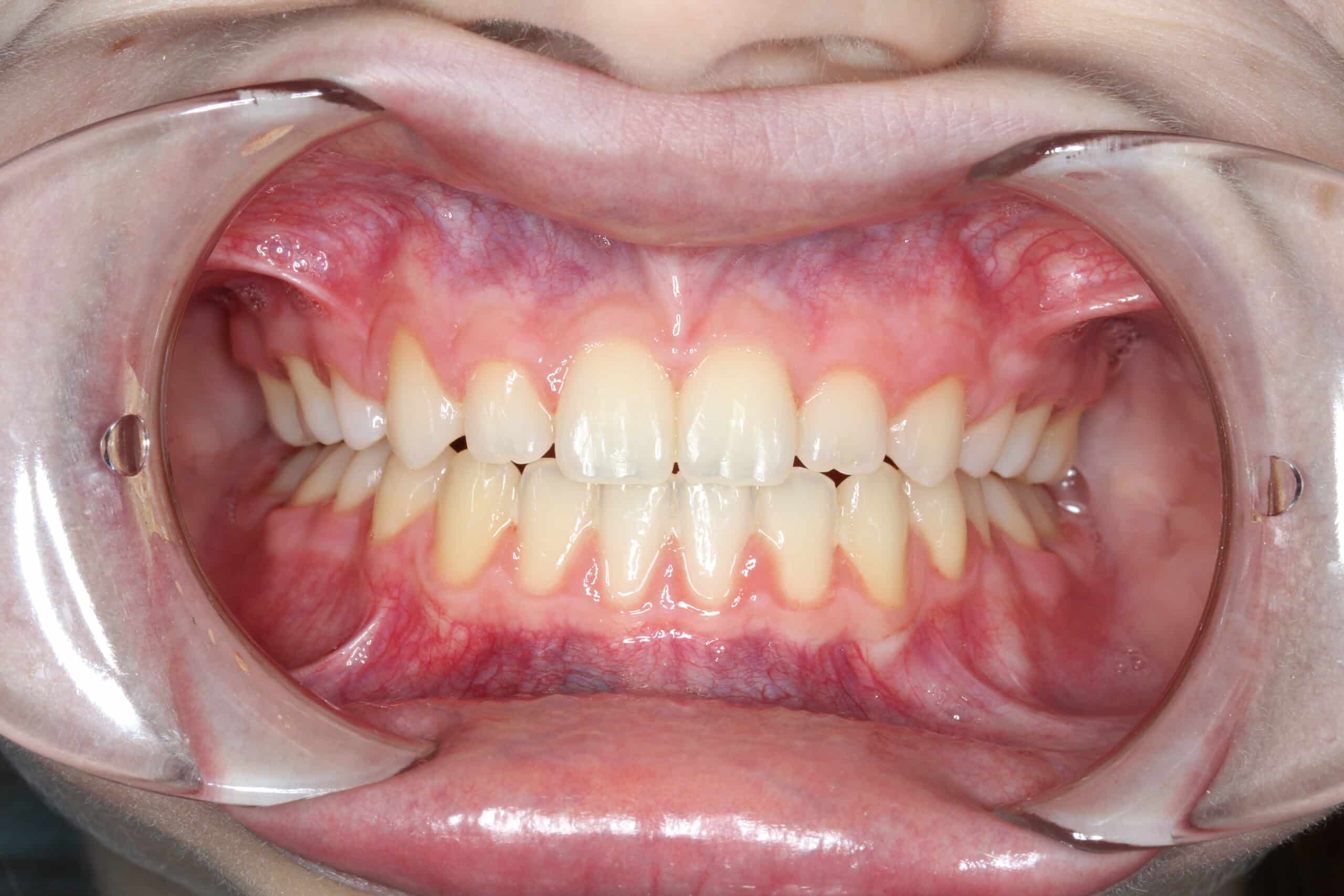
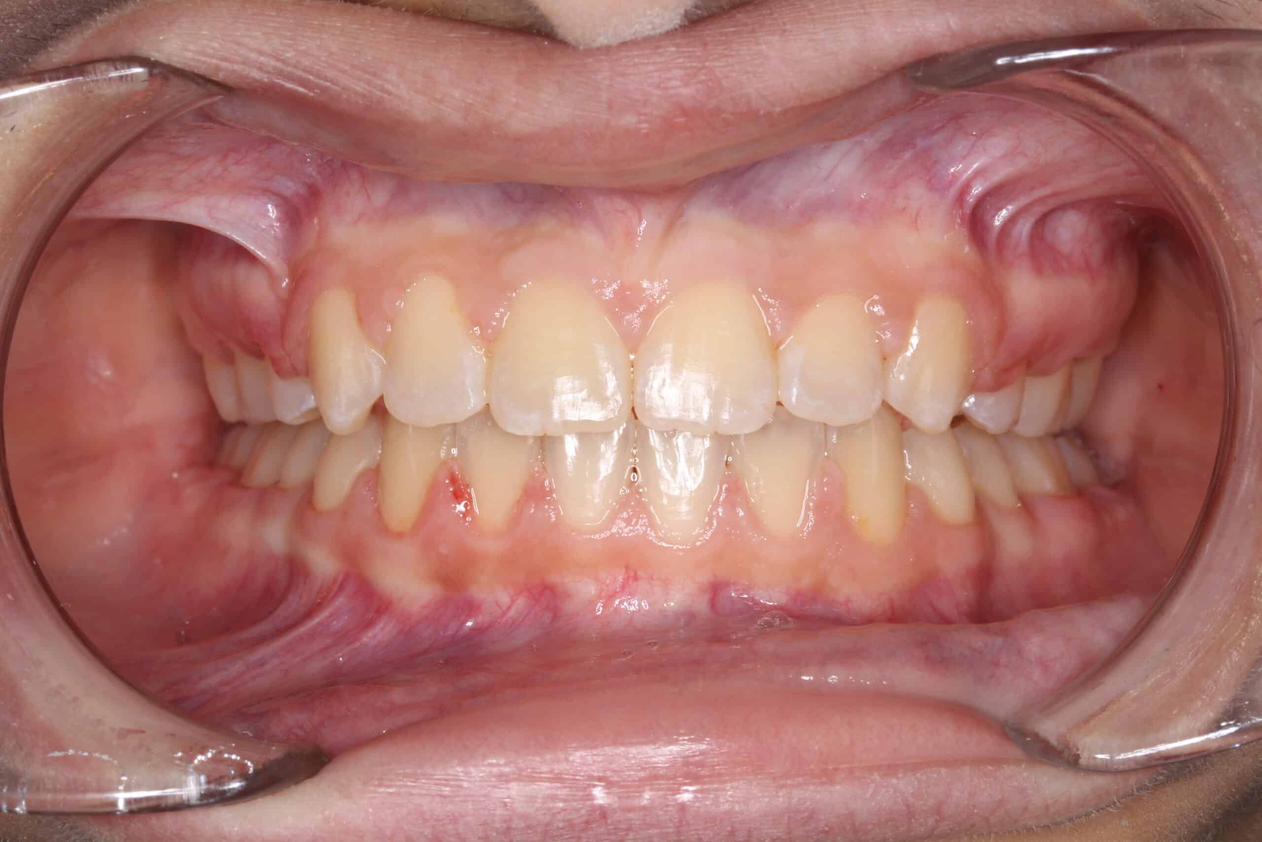
Smille Gallery

At Solitaire Orthodontics, we are proud in helping our patients achieve confident, healthy smiles. Our Smile Gallery showcases real before-and-after transformations made possible through personalized orthodontic care. See how braces and clear aligners have changed lives, one smile at a time.